“How long you think that you can run that body down
How many nights you think
That you can do what you been doing
Who, now who you foolin'“  Paul Simon
When Justice Thurgood Marshall was asked why he was retiring from the Supreme Court, he answered, “I'm old. I’m comin’ apart.” His mind was nimble and sharp, but it was housed in a slowly deteriorating assemblage of blood, bones, and protoplasm.
That the body and the mind are separate came to me from a line of poetry in my Creative Writing Class at UC in 1969. An unremembered classmate wrote a poem with this line about her body composed while sitting in a bathtub, “I look down at it from inside my face.” Our body is separate from the we that looks down at it.
It’s a complicated relationship. Sometimes our bodies and our minds are on the same page—the body that carries the climber to the summit of Everest, the striker whose bicycle kick sends the ball into the back of the net, the one legged ten-second stance that reassures us that we still have our sense of balance.
But it’s not always copacetic. We’re not always friends. In worst cases It’s a love-hate relationship. In a recent issue of The Atlantic, Emily Boring, a chaplain in a hospital, wrote this, “the summer before last, I met a woman who lit herself on fire. I’ll call her R. One evening in June, she poured lighter fluid over and into her body—down her mouth and up her rectum—and struck a match. Self-immolation isn’t unheard of on the burn unit. But her case included a remarkable detail: “Pt self-reported the incident.” Translation: R herself called 911 while she burned. When the ambulance arrived, she was still smoldering—hair and jean cuffs smoking, iPhone hot to the touch.”
She wasn’t suicidal. “They told me the chaplain was coming!” she said hoarsely. “Listen: I need you to believe me. I’m not crazy. I didn’t want to kill myself. I just wanted to be closer to God.”
Emily was a Yale divinity student, who at the time was suffering from anorexia nervosa. She writes, “My own illness, anorexia nervosa, had reawakened several months earlier, stirred by the loneliness of COVID and the pressure of graduate school. I’d lived with my eating disorder for eight years—nearly a third of my lifetime—in various states of remission, crisis, and active recovery. That summer, the old thoughts and habits had returned: skipped meals, too-long runs in the predawn. My body was consuming itself, not through the sudden conflagration of matches and lighter fluid but through the steady combustion of glycogen to glucose, the breakdown of fat cells and muscle fibers. I knew this, and yet I couldn’t help myself.” Knowing wasn’t enough. Our bodies and our minds can be at polar opposites, an apparent contradiction, as we both have the same goal in mind—to keep going.
But even when we’re getting along, our bodies and ourselves, there is the inexorable falling away, as either the body or the mind begins its inevitable descent. Alzheimer’s disease takes the mind. For those who don’t have dementia, the body leads the way.
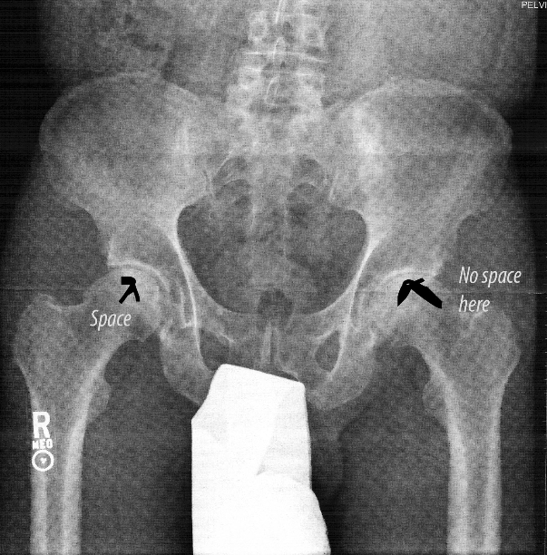
Nine years ago Jadyne noticed that I was walking unevenly. Even Cecile, our next door neighbor, said, “You’re limping.” I saw my GP who recommended exercises that I followed for months. No improvement Finally, I went in for an x-ray.
An X-ray of my hip. No space means new hip. A pair of before and after photos. My current hip is pictured on the right.
This was just a beginning, what my friend and neighbor Chris Anderson called, “a new normal,” a fluid description that was to be applied over and over again.
And it did. A year later I woke up with acute ringing in my ears, the sound of cicadas in midwest summer evenings. One day I didn’t have it, the next day I did. It’s 24-7, only not noticeable when I’m asleep. I kept a journal of my frustrations at dealing with it. After about three months I talked to my sister-in-law about it.
“Janet called Monday afternoon to offer some encouragement. She has tinnitus in her left ear, and though only in one ear perhaps it’s as strong as mine, and she said she has a mantra that basically goes like this: “It doesn’t hurt me. It doesn’t prevent me from carrying on normal activities. The less attention I give it the less prominent it is.” That’s what I’m trying to do, too. She added, “I don’t want it to go away, as if it does, it will probably mean that I’m dead.” For those of us who are suffering from tinnitus, we have come to recognize that we’ll never enjoy the silence that others do, as tinnitus rears its ugly head every second of every waking minute of every day.” Eight years later I pay little attention to it.
Two new normals in two years. Then an audiology test. My tinnitus symphony gradually replaced the sounds I was able to hear earlier, the higher pitched sounds, like the beep that revealed an open refrigerator door or the reminder that the coffee was done. Hearing aids and a new knee have given me a sense of my old self. I’m grateful for medical science. It’s a third new normal.
Then for the next few years, nothing. A Thanksgiving trip to Monterey. I came home with a cold. I tested myself to be sure that I was OK. Test was negative. Two days ago dinner at Jennifer’s. Came home, early bed. Monday I was exhausted. Jadyne was, too. Early bedtimes for both of us. She slept eleven hours. I woke up this morning feeling better, but we both felt the need to test. We have Covid. The mind is still sharp, the body, close to useless. I thought about the walks, the swims, the treadmill, all that I was able to do last week and thought how strange, how foreign, how alien it all was. I can barely walk up the stairs.
Thurgood Marshall was 84 when he died.  He had retired from the Supreme Court two years earlier.  I’m not “coming apart” right now, just going through what millions of others have, believing that the vaccines and booster shots, a warm house, a comfortable bed, the World Cup, my guitar, and a copy of Larry McMurtry’s Lonesome Dove can do to make it more comfortable.  This too, will pass.
 
            